产品描述:Rabbit polyclonal antibody to BCL2免疫原:KLH-conjugated synthetic peptide encompassing a sequence within the center region of human BCL2. The exact sequence is proprietary.纯化方式:The antibody was purified by immunogen affinity chromatography.克隆类型:Polyclonal产品形式:Liquid in 0.42% Potassium phosphate, 0.87% Sodium chloride, pH 7.3, 30% glycerol, and 0.01% sodium azide.稀释比:WB (1/500 - 1/1000), IH (1/50 - 1/200), IF/IC (1/50 - 1/200)基因名称:BCL2相关名称:Apoptosis regulator Bcl-2
基因编号(人):
596;
基因编号(小鼠):
12043;
基因编号(大鼠):
24224;
蛋白编号(人):
P10415;
蛋白编号(小鼠):
P10417;
蛋白编号(大鼠):
P49950;
储存效期:Shipped at 4°C. Upon delivery aliquot and store at -20°C for one year. Avoid freeze/thaw cycles.
-
Western blot analysis of BCL2 expression in SHSY5Y (A), MCF7 (B), Hela (C), mouse kidney (D), mouse muscle (E), rat kidney (F), rat muscle (G) whole cell lysates. (Predicted band size: 26 kD; Observed band size: 28 kD) -
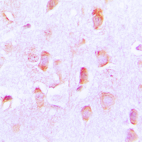
Immunohistochemical analysis of BCL2 staining in human brain formalin fixed paraffin embedded tissue section. The section was pre-treated using heat mediated antigen retrieval with sodium citrate buffer (pH 6.0). The section was then incubated with the antibody at room temperature and detected using an HRP conjugated compact polymer system. DAB was used as the chromogen. The section was then counterstained with haematoxylin and mounted with DPX. -
Immunofluorescent analysis of BCL2 staining in HepG2 cells. Formalin-fixed cells were permeabilized with 0.1% Triton X-100 in TBS for 5-10 minutes and blocked with 3% BSA-PBS for 30 minutes at room temperature. Cells were probed with the primary antibody in 3% BSA-PBS and incubated overnight at 4 °C in a humidified chamber. Cells were washed with PBST and incubated with a AF594-conjugated secondary antibody (red) in PBS at room temperature in the dark.
Novel method for measuring active tension generation by C2C12 myotube using UV-crosslinked collagen film
Soy isoflavones genistein and daidzein exert anti-apoptotic actions via a selective ER-mediated mechanism in neurons following HIV-1 Tat(1-86) exposure
Mangiferin has an additive effect on the apoptotic properties of hesperidin in Cyclopia sp
Receptor of Advanced Glycation End Products Deficiency Attenuates Cisplatin-Induced Acute Nephrotoxicity by Inhibiting Apoptosis, Inflammation and Restoring Fatty Acid Oxidation
GRPR down-regulation inhibits spermatogenesis through Ca2+ mediated by PLCβ/IP3R signaling pathway in long-term formaldehyde-exposed rats
A High Concentrate Diet Inhibits Forkhead Box Protein A2 Expression, and Induces Oxidative Stress, Mitochondrial Dysfunction and Mitochondrial Unfolded Protein Response in the Liver of Dairy Cows
GPR39 Agonist TC-G 1008 Promoted Mitochondrial Biogenesis and Improved Antioxidative Capability via CREB/PGC-1α Pathway Following Intracerebral Hemorrhage in Mice
Dehydroandrographolide ameliorates doxorubicin-mediated cardiotoxicity by regulating autophagy through the mTOR-TFEB pathway
13-Methylpalmatine improves myocardial infarction injury by inhibiting CHOP-mediated cross-talk between endoplasmic reticulum and mitochondria
Piezo1 promotes intervertebral disc degeneration through the Ca2+/F-actin/Yap signaling axis


说明书
MSDS