产品描述:Rabbit polyclonal antibody to BAX免疫原:KLH-conjugated synthetic peptide encompassing a sequence within the center region of human BAX. The exact sequence is proprietary.纯化方式:The antibody was purified by immunogen affinity chromatography.克隆类型:Polyclonal产品形式:Liquid in 0.42% Potassium phosphate, 0.87% Sodium chloride, pH 7.3, 30% glycerol, and 0.01% sodium azide.稀释比:E (1/5000 - 1/10000), WB (1/500 - 1/1000), IH (1/100 - 1/200), IF/IC (1/100 - 1/500)基因名称:BAX相关名称:BCL2L4; Apoptosis regulator BAX; Bcl-2-like protein 4; Bcl2-L-4
基因编号(人):
581;
基因编号(小鼠):
12028;
蛋白编号(人):
Q07812;
蛋白编号(小鼠):
Q07813;
蛋白编号(大鼠):
Q63690;
储存效期:Shipped at 4°C. Upon delivery aliquot and store at -20°C for one year. Avoid freeze/thaw cycles.
-
Western blot analysis of BAX expression in mouse brain (A), rat brain (B), A2780 (C), MCF7 (D) whole cell lysates. (Predicted band size: 21 kD; Observed band size: 20 kD) -
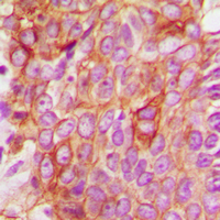
Immunohistochemical analysis of BAX staining in human breast cancer formalin fixed paraffin embedded tissue section. The section was pre-treated using heat mediated antigen retrieval with sodium citrate buffer (pH 6.0). The section was then incubated with the antibody at room temperature and detected using an HRP conjugated compact polymer system. DAB was used as the chromogen. The section was then counterstained with haematoxylin and mounted with DPX. -
Immunofluorescent analysis of BAX staining in A549 cells. Formalin-fixed cells were permeabilized with 0.1% Triton X-100 in TBS for 5-10 minutes and blocked with 3% BSA-PBS for 30 minutes at room temperature. Cells were probed with the primary antibody in 3% BSA-PBS and incubated overnight at 4 °C in a humidified chamber. Cells were washed with PBST and incubated with a DyLight 594-conjugated secondary antibody (red) in PBS at room temperature in the dark. DAPI was used to stain the cell nuclei (blue).
Short Interfering RNA against Bax Attenuates TNFa-Induced Ototoxicity in Rat Organ of Corti Explants
Human VRK2 modulates apoptosis by interaction with Bcl-xL and regulation of BAX gene expression
Receptor of Advanced Glycation End Products Deficiency Attenuates Cisplatin-Induced Acute Nephrotoxicity by Inhibiting Apoptosis, Inflammation and Restoring Fatty Acid Oxidation
Saponins of Marsdenia Tenacissima promotes apoptosis of hepatocellular carcinoma cells through damaging mitochondria then activating cytochrome C/Caspase-9/Caspase-3 pathway
Necrostatin-1 Alleviates Lung Ischemia-Reperfusion Injury via Inhibiting Necroptosis and Apoptosis of Lung Epithelial Cells
GRPR down-regulation inhibits spermatogenesis through Ca2+ mediated by PLCβ/IP3R signaling pathway in long-term formaldehyde-exposed rats
Dehydroandrographolide ameliorates doxorubicin-mediated cardiotoxicity by regulating autophagy through the mTOR-TFEB pathway


说明书
MSDS