产品描述:Rabbit polyclonal antibody to AKT (Phospho-T308)免疫原:KLH-conjugated synthetic phosphopeptide corresponding to residues surrounding T308 of human AKT protein. The exact sequence is proprietary.纯化方式:The antibody was purified by immunogen affinity chromatography.克隆类型:Polyclonal产品形式:Liquid in 0.42% Potassium phosphate, 0.87% Sodium chloride, pH 7.3, 30% glycerol, and 0.01% sodium azide.稀释比:WB (1/500 - 1/1000), IH (1/50 - 1/100)基因名称:AKT1; AKT2; AKT3相关名称:AKT1; PKB; RAC; RAC-alpha serine/threonine-protein kinase; Protein kinase B; PKB; Protein kinase B alpha; PKB alpha; Proto-oncogene c-Akt; RAC-PK-alpha; AKT2; RAC-beta serine/threonine-protein kinase; Protein kinase Akt-2; Protein kinase B beta; PKB beta; RAC-PK-beta; AKT3; PKBG; RAC-gamma serine/threonine-protein kinase; Protein kinase Akt-3; Protein kinase B gamma; PKB gamma; RAC-PK-gamma; STK-2
基因编号(人):
207;
208;
10000;
基因编号(小鼠):
11651;
11652;
23797;
基因编号(大鼠):
24185;
25233;
29414;
蛋白编号(人):
P31749;
P31751;
Q9Y243;
蛋白编号(小鼠):
P31750;
Q60823;
Q9WUA6;
蛋白编号(大鼠):
P47196;
P47197;
Q63484;
储存效期:Shipped at 4°C. Upon delivery aliquot and store at -20°C for one year. Avoid freeze/thaw cycles.
-
Western blot analysis of AKT (Phospho-T308) expression in HeLa colchicine-treated (A), HL60 (B), NIH3T3 (C), SP2/0 colchicine-treated (D), PC12 colchicine-treated (E) whole cell lysates. (Predicted band size: 55 kD; Observed band size: 55 kD ) -
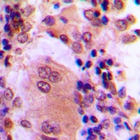
Immunohistochemical analysis of AKT (Phospho-T308) staining in human lung cancer formalin fixed paraffin embedded tissue section. The section was pre-treated using heat mediated antigen retrieval with sodium citrate buffer (pH 6.0). The section was then incubated with the antibody at room temperature and detected using an HRP conjugated compact polymer system. DAB was used as the chromogen. The section was then counterstained with haematoxylin and mounted with DPX. -
Direct ELISA antibody dose-response curve using Anti-AKT (Phospho-T308) Antibody. Antigen (Phosphopeptide and non-phosphopeptide) concentration is 5 ug/ml. Goat Anti-Rabbit IgG (H&L) - HRP was used as the secondary antibody, and signal was developed by TMB substrate.
Zi-Su-Zi decoction improves airway hyperresponsiveness in cough-variant asthma rat model through PI3K/AKT1/mTOR, JAK2/STAT3 and HIF-1α/NF-κB signaling pathways
A Mg Battery-Integrated Bioelectronic Patch Provides Efficient Electrochemical Stimulations for Wound Healing


说明书
MSDS