产品描述:Rabbit polyclonal antibody to Beta-actin免疫原:KLH-conjugated synthetic peptide encompassing a sequence within the N-term region of human Beta-actin. The exact sequence is proprietary.纯化方式:The antibody was purified by immunogen affinity chromatography.克隆类型:Polyclonal产品形式:Liquid in 0.42% Potassium phosphate, 0.87% Sodium chloride, pH 7.3, 30% glycerol, and 0.01% sodium azide.稀释比:WB (1/500 - 1/1000), IH (1/50 - 1/100), IF/IC (1/50 - 1/200)基因名称:ACTB相关名称:Actin cytoplasmic 1; Beta-actin
基因编号(人):
60;
基因编号(小鼠):
11461;
基因编号(大鼠):
81822;
蛋白编号(人):
P60709;
蛋白编号(小鼠):
P60710;
蛋白编号(大鼠):
P60711;
储存效期:Shipped at 4°C. Upon delivery aliquot and store at -20°C for one year. Avoid freeze/thaw cycles.
-
Western blot analysis of Beta-actin expression in HEK293T (A), Hela (B), A375 (C), DLD (D), H460 (E), mouse kidney (F), rat kidney (G) whole cell lysates. (Predicted band size: 41 kD; Observed band size: 42 kD) -
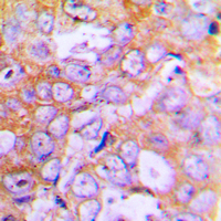
Immunohistochemical analysis of Beta-actin staining in human lung cancer formalin fixed paraffin embedded tissue section. The section was pre-treated using heat mediated antigen retrieval with sodium citrate buffer (pH 6.0). The section was then incubated with the antibody at room temperature and detected using an HRP conjugated compact polymer system. DAB was used as the chromogen. The section was then counterstained with haematoxylin and mounted with DPX. -
Immunofluorescent analysis of Beta-actin staining in C6 cells. Formalin-fixed cells were permeabilized with 0.1% Triton X-100 in TBS for 5-10 minutes and blocked with 3% BSA-PBS for 30 minutes at room temperature. Cells were probed with the primary antibody in 3% BSA-PBS and incubated overnight at 4 °C in a hidified chamber. Cells were washed with PBST and incubated with a AF488-conjugated secondary antibody (green) in PBS at room temperature in the dark. Phalloidin - AF594 was used to stain Actin filaments (red). DAPI was used to stain the cell nuclei (blue).
The aryl sulfonamide indisulam inhibits gastric cancer cell migration by promoting the ubiquitination and degradation of the transcription factor ZEB1
Recombinant growth arrest-specific protein 6 protects the blood-brain barrier by regulating microglia polarization via the GAS6/Axl/SOCS pathway in post-stroke hemorrhagic transformation model
Small molecule deoxynyboquinone triggers alkylation and ubiquitination of Keap1 at Cys489 on Kelch domain for Nrf2 activation and inflammatory therapy
Knockdown of RASD1 improves MASLD progression by inhibiting the PI3K/AKT/mTOR pathway


说明书
MSDS