产品描述:Rabbit polyclonal antibody to Alpha-actin-1免疫原:KLH-conjugated synthetic peptide encompassing a sequence within the N-term region of human Alpha-actin-1. The exact sequence is proprietary.纯化方式:The antibody was purified by immunogen affinity chromatography.克隆类型:Polyclonal产品形式:Liquid in 0.42% Potassium phosphate, 0.87% Sodium chloride, pH 7.3, 30% glycerol, and 0.01% sodium azide.稀释比:WB (1/500 - 1/1000), IH (1/100 - 1/200), IP (1/10 - 1/100)基因名称:ACTA1相关名称:ACTA; Actin, alpha skeletal muscle; Alpha-actin-1
基因编号(人):
58;
基因编号(小鼠):
11459;
基因编号(大鼠):
29437;
蛋白编号(人):
P68133;
蛋白编号(小鼠):
P68134;
蛋白编号(大鼠):
P68136;
储存效期:Shipped at 4°C. Upon delivery aliquot and store at -20°C for one year. Avoid freeze/thaw cycles.
-
Western blot analysis of Alpha-actin-1 expression in A549 (A), SP2/0 (B), rat kidney (C) whole cell lysates. (Predicted band size: 42 kD; Observed band size: 42 kD) -
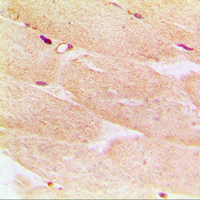
Immunohistochemical analysis of Alpha-actin-1 staining in human muscle formalin fixed paraffin embedded tissue section. The section was pre-treated using heat mediated antigen retrieval with sodium citrate buffer (pH 6.0). The section was then incubated with the antibody at room temperature and detected using an HRP conjugated compact polymer system. DAB was used as the chromogen. The section was then counterstained with haematoxylin and mounted with DPX. -
Immunoprecipitation of Alpha-actin-1 from 0.5mg Mouse Skeletal Muscle tissue lysate, using 5ug of Anti-Alpha-actin-1 Antibody and 50ul of protein G magnetic beads (+). No antibody was added to the control (-). The antibody was incubated under agitation with Protein G beads for 10min, Mouse Skeletal Muscle tissue lysate diluted in RIPA buffer was added to each sample and incubated for a further 10min under agitation. Proteins were eluted by addition of 40ul SDS loading buffer and incubated for 10min at 70°C; 10ul of each sample was separated on a SDS PAGE gel, transferred to a nitrocellulose membrane, blocked with 5% BSA and probed with Anti-Alpha-actin-1 Antibody.
Novel method for measuring active tension generation by C2C12 myotube using UV-crosslinked collagen film


说明书
MSDS