产品描述:Rabbit polyclonal antibody to ABL1/2免疫原:KLH-conjugated synthetic peptide encompassing a sequence within the C-term region of human ABL1/2. The exact sequence is proprietary.纯化方式:The antibody was purified by immunogen affinity chromatography.克隆类型:Polyclonal产品形式:Liquid in 0.42% Potassium phosphate, 0.87% Sodium chloride, pH 7.3, 30% glycerol, and 0.01% sodium azide.稀释比:WB (1/500 - 1/1000), IH (1/100 - 1/200)基因名称:ABL1; ABL2相关名称:ABL1; ABL; JTK7; Tyrosine-protein kinase ABL1; Abelson murine leukemia viral oncogene homolog 1; Abelson tyrosine-protein kinase 1; Proto-oncogene c-Abl; p150; ABL2; ABLL; ARG; Abelson tyrosine-protein kinase 2; Abelson murine leukemia viral oncogene homolog 2; Abelson-related gene protein; Tyrosine-protein kinase ARG
基因编号(人):
25;
27;
基因编号(小鼠):
11350;
蛋白编号(人):
P00519;
P42684;
蛋白编号(小鼠):
P00520;
Q4JIM5;
储存效期:Shipped at 4°C. Upon delivery aliquot and store at -20°C for one year. Avoid freeze/thaw cycles.
-
Western blot analysis of ABL1/2 expression in HeLa (A), HEK293T (B), Raw264.7 (C), PC12 (D) whole cell lysates. (Predicted band size: 122; 128 kD; Observed band size: 135 kD) -
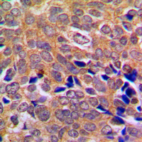
Immunohistochemical analysis of ABL1/2 staining in human breast cancer formalin fixed paraffin embedded tissue section. The section was pre-treated using heat mediated antigen retrieval with sodium citrate buffer (pH 6.0). The section was then incubated with the antibody at room temperature and detected using an HRP conjugated compact polymer system. DAB was used as the chromogen. The section was then counterstained with haematoxylin and mounted with DPX.


说明书
MSDS