产品描述:Recombinant rabbit monoclonal antibody to CD274免疫原:KLH-conjugated synthetic peptide encompassing a sequence within human CD274. The exact sequence is proprietary.纯化方式:The antibody was purified by immunogen affinity chromatography.克隆类型:Monoclonal产品形式:Liquid in PBS, pH 7.4, containing 50% glycerol, 0.2% BSA and 0.01% sodium azide.稀释比:WB (1/500 - 1/1000), IH (1/50 - 1/200)基因名称:CD274相关名称:B7H1; PDCD1L1; PDCD1LG1; PDL1; Programmed cell death 1 ligand 1; PD-L1; PDCD1 ligand 1; Programmed death ligand 1; B7 homolog 1; B7-H1; CD274
基因编号(人):
29126;
蛋白编号(人):
Q9NZQ7;
储存效期:Shipped at 4°C. Upon delivery aliquot and store at -20°C for one year. Avoid freeze/thaw cycles.
-
Western blot analysis of CD274 expression in H1792 (A), Myla2059 (B), LO2 (C) whole cell lysates. (Predicted band size: 33 kD; Observed band size: 46 kD) -
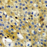
Immunohistochemical analysis of CD274 staining in human thymoma formalin fixed paraffin embedded tissue section. The section was pre-treated using heat mediated antigen retrieval with sodium citrate buffer (pH 6.0). The section was then incubated with the antibody at room temperature and detected using an HRP conjugated compact polymer system. DAB was used as the chromogen. The section was then counterstained with haematoxylin and mounted with DPX.


说明书
MSDS